• 동두천 1.8℃맑음
  • 강릉 11.0℃맑음
  • 서울 3.8℃맑음
  • 대전 6.0℃맑음
  • 대구 8.7℃박무
  • 울산 11.1℃구름많음
  • 광주 8.8℃구름조금
  • 부산 13.5℃흐림
  • 고창 6.1℃맑음
  • 제주 14.1℃연무
  • 강화 2.2℃맑음
  • 보은 3.4℃맑음
  • 금산 5.2℃맑음
  • 강진군 10.0℃구름많음
  • 경주시 11.6℃구름많음
  • 거제 11.2℃구름조금
기상청 제공

2025.12.01 (월)

글로벌

전체기사 보기

입에서 나온 회충, 맹장까지 공격했다

20대 여성 맹장염 수술 뒤 구토 중 살아 있는 기생충 배출

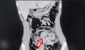
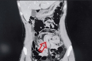
더지엠뉴스 이남희 기자 | 극심한 복통으로 병원을 찾은 20대 여성이 맹장 수술을 받은 직후 구토 과정에서 살아 있는 회충을 입으로 토해낸 사례가 국제 학술지에 보고됐다. 장 속에 숨어 있던 기생충이 충수 안쪽까지 파고들어 염증을 일으킨 뒤 위 방향으로 역행한 것으로 추정되면서, 위생 관리와 정기적인 구충의 필요성이 다시 떠오르고 있다. 24일 국제 의학 저널 큐레우스에 따르면, 필리핀 국적의 29세 여성 A씨는 심한 배 통증을 호소하며 사우디아라비아 킹 살만 병원 응급실을 찾았다. A씨가 처음 느낀 통증은 배꼽 주변에서 시작돼 시간이 지나면서 복부 전체로 번졌고, 식욕이 떨어지면서 메스꺼움과 구토가 반복되는 상태였던 것으로 전해졌다. 의료진은 진찰 과정에서 단순 소화불량을 넘는 복부 긴장과 압통을 확인하고, 조영제를 이용한 복부 컴퓨터단층촬영을 시행해 소장과 대장 고리 부위에 공기로 채워진 가늘고 긴 선 모양의 구조물을 찾아냈다. 영상 소견은 장 내에 이물질이 움직이고 있는 양상에 가까웠고, 의료진은 회충 감염 가능성을 최우선으로 의심하면서 충수 말단부에 생긴 염증까지 함께 확인했다. 추가 혈액 검사와 영상 판독 결과 A씨에게는 충수 끝에 염증이 생긴 충수

중국, 일본산 식품 통제 강화하며 압박 수위를 다시 높였다

일본 총리 발언 이후 외교 경로로 수산물 수입 중단 통보

더지엠뉴스 송종환 기자 | 중국이 일본산 수산물의 대중국 수입을 또다시 멈추며 양국 간 갈등이 한층 긴장되는 국면으로 접어들고 있다. 대만 문제를 둘러싼 정치적 충돌과 경제적 조치가 연속으로 이어지며 중일 관계의 충격 범위가 빠르게 확장되는 모습이다. 19일 일본 매체에 따르면, 중국은 이날 오전 외교 채널을 통해 일본 정부에 일본산 수산물 수입을 즉시 중단하겠다는 방침을 전달했다. 이번 조치는 다카이치 사나에 일본 총리가 최근 대만 유사 상황에서 일본이 집단적 대응에 나설 수 있다는 취지의 발언을 내놓은 뒤 이어진 일련의 대응 가운데 또 하나의 조치로 언급됐다. 중국은 이미 일본 여행 자제 권고와 유학 관련 경보, 일본 콘텐츠 개봉 일정 조정 등 다양한 형태의 조치를 취해 왔다. 해당 발표는 일본산 식품 수입 재개의 시차를 고려할 때 더욱 주목을 받았다. 2023년 8월 일본 후쿠시마 제1원전 방류가 시작된 직후 중국은 일본산 수산물 전면 금지를 시행했고, 이후 후쿠시마(福岛, Fudao)와 미야기(宫城, Gongcheng) 등 10개 광역 지역을 제외한 나머지 지역의 제품은 제한적 절차를 거쳐 올해부터 순차적으로 재개됐다. 이달 초 홋카이도 지역 냉동 가

아리아나 그란데 덮친 ‘난입 남성’, 싱가포르 법원서...

세계 투어 스타 겨냥한 반복 난입, 공공질서 위반 실형 선고

더지엠뉴스 박소영 기자 | 세계적인 팝스타 아리아나 그란데를 레드카펫 행사 도중 갑자기 끌어안아 소동을 일으킨 남성이 싱가포르 법원에서 징역형을 선고받았다. 공연장과 시사회 현장을 돌며 난입 장면을 스스로 촬영·공유해온 인물이었지만, 반복된 행동 끝에 결국 형사처벌로 이어졌다. 19일 싱가포르 현지 언론과 외신 보도에 따르면, 법원은 호주 국적의 20대 남성 존슨 웬에게 공공질서 교란 혐의를 적용해 징역 9일을 선고했다. 웬은 지난 13일 영화 ‘위키드: 포 굿’ 속편 홍보를 위해 싱가포르를 찾은 아리아나 그란데의 레드카펫 행사에 난입했다. 당시 그는 레드카펫 구역으로 갑자기 뛰어들어 그란데의 어깨를 거칠게 끌어안았고, 예상치 못한 접촉에 그란데가 중심을 잃고 휘청이는 장면이 현장 영상에 그대로 담겼다. 바로 옆에 서 있던 동료 배우 신시아 에리보가 곧바로 웬을 밀쳐내며 그란데를 뒤로 보호했고, 경호요원들이 즉각 제지에 나서면서 남성은 현장에서 끌려 나갔다. 이 장면은 행사 직후 소셜미디어를 통해 여러 각도에서 촬영된 영상이 빠르게 확산되며 논란을 키웠다. 웬은 체포 이후에도 자신의 인스타그램 계정에 난입 순간이 찍힌 영상을 직접 올렸다. 그는 게시물에 “뛰

태국 낮술, 이젠 ‘이것’도 벌금?

태국 주류 관리법 전면 강화, 관광객 낮술 단속

더지엠뉴스 박소영 기자 | 태국이 오후 2시부터 5시까지 이뤄지는 낮술을 전면 금지하며 현지 음식점과 여행객 모두를 단속 대상으로 묶었다. 술을 사는 행위뿐 아니라 잔을 비우는 시점까지 통제해 몇 분 차이에도 수십만 원대 벌금이 떨어질 수 있는 강한 규제를 도입했다. 태국 정부는 개정 주류 관리법 세부 내용을 공개하며 낮 시간대 음주 제한을 공식화했다. 17일 태국 보건부에 따르면, 오후 2시부터 5시까지는 술 판매뿐 아니라 이 시간대에 이어지는 음주 행위 자체가 금지 대상이며, 적발 시 최소 1만 밧(약 45만 원)의 벌금이 부과된다. 그동안 태국에서는 정해진 시간에 술을 판 업주만 처벌을 받았지만, 새 규정이 시행되면 술을 마신 손님까지 동일하게 책임을 지도록 범위가 넓어진다. 태국 당국은 식당·편의점·바 등에서 정해진 시간 이전에 주문·결제가 이뤄졌더라도 실제로 술을 마신 시각이 오후 2시를 넘으면 위반으로 간주하는 방식을 적용한다. 예를 들어 한 식당 업주가 오후 1시 59분에 맥주를 내고 손님이 2시 이후에 잔을 기울이면, 영수증 시간과 관계없이 업주와 손님 모두 단속 대상이 된다. 태국은 관광 의존도가 높은 국가로, 방콕 카오산로드 같은 외국인 밀

“낮술 과태료 45만원”…관광객도 예외 없다

주류 판매시간 엄격 적용+소비자 처벌 병행

더지엠뉴스 박소영 기자 | 태국이 낮 시간대 음주 단속을 대폭 강화했다. 판매 제한 시간 밖에서 술을 마신 소비자에게도 과태료를 부과하도록 법을 손질했다. 11일 사우스차이나모닝포스트(South China Morning Post)에 따르면, 태국은 주류 규제법 개정으로 소매 판매 허용 시간을 오전 11시부터 오후 2시, 오후 5시부터 자정으로 못박고, 허용 시간을 넘겨 술을 판매한 업주는 물론 마신 소비자도 처벌하도록 했다. 소비자에게 부과되는 과태료 하한은 1만 바트(약 45만 원)로 설정됐다. 관광객에게도 동일 기준이 적용돼, 현지 시간을 기준으로 오후 1시 59분에 구매한 술을 오후 2시 5분에 마신 경우 업주와 소비자가 함께 제재 대상이 된다. 단속은 시간뿐 아니라 장소도 함께 본다. 학교·종교시설·관공서 인근 등 금지 구역에서의 음주는 시간과 무관하게 처벌될 수 있다. 태국은 1970년대부터 대형 마트와 편의점의 오후 2~5시 판매 금지를 운용해 왔으나, 그간 느슨했던 집행을 이번 개정으로 소비자까지 포섭해 강제력을 끌어올렸다. 호텔·레스토랑·엔터테인먼트 업종의 허가 업소는 판매 규정에서 일부 예외가 인정되지만, 허용 시간을 넘긴 소비 행위가 확인되

호주 가서 ‘이짓’ 예고한 인플루언서…학부모들 충격

18세 초대 선언, 스쿨리스 행사 뒤집어놨다

더지엠뉴스 이남희 기자 | 영국 출신 성인물 인플루언서 보니 블루가 호주 졸업여행 시즌 ‘스쿨리스’ 기간에 골드코스트 방문을 예고하며 학부모와 당국의 경계가 높아졌다. 그는 사회관계망서비스에서 18세 이상과의 만남을 공개적으로 언급하며 파티 계획을 띄웠고, 현지 언론은 행사 안전과 청소년 보호를 둘러싼 파장을 잇달아 전했다. 10일 외신과 호주 현지 매체에 따르면, 보니 블루는 이달 말 골드코스트에서 ‘가장 미친 파티’를 열겠다고 예고하며 논란을 재점화했다. 호주는 성인 콘텐츠 제작·홍보 활동에 해당할 경우 목적에 맞는 비자가 요구된다. 보니 블루는 과거 관광 등과 다른 활동 계획을 이유로 비자가 취소된 전력이 있다. 당시 ‘비자 취소’ 청원에 수만 명이 동참했고, 그는 법을 어긴 적이 없다고 반박했다. 스쿨리스는 11월 말부터 약 3주 동안 이어지는 졸업 축하 행사다. 퀸즐랜드 골드코스트 일대에 졸업생이 대거 몰리고, 야간 활동이 많아 현장 혼잡과 안전 관리 수요가 커진다. 현지 언론은 ‘부모들에게 가장 큰 위협’ ‘올해 최대 소동’ 같은 경고성 표현을 사용하며 주의를 촉구했다. 보니 블루는 남성 유명인의 유사 발언에는 도덕적 비난이 덜하다고 주장하며 이중

치과의사도 놀란 변색 주범, 당신도 매일 먹는다

치아 미백·예방 수칙, 식습관 조정

더지엠뉴스 박소영 기자 | 하얗게 관리해도 입안의 산과 색소가 법랑질을 스치고 남긴 흔적은 쉽게 지워지지 않는다. 진료실에서 되풀이되는 착색의 출발점은 특정 음료·소스·흡연 습관과 맞물려 조용히 축적된다. 7일. 서울신문에 따르면, 치과의사 한나 킨셀라가 지목한 변색 촉발군은 레드 와인, 베리류, 토마토 소스, 과일 주스, 차, 커피로 압축된다. 와인은 산도가 높아 법랑질 표면을 잠시 거칠게 만든 뒤 타닌과 안토시아닌이 달라붙는 흐름을 만든다. 잔 한두 번이 문제를 ‘즉시’ 만들진 않지만, 헹굼 없이 이어지는 섭취가 누적될수록 치아 표면엔 얼룩이 겹겹이 얹힌다. 마신 뒤 물로 입안을 가볍게 헹구면 염료와 산의 머무는 시간을 줄일 수 있다. 베리류는 진한 색소와 유기산이 동시에 작동한다. 입안에 오래 머무는 미세 입자가 틈새를 통과하며 스며들고, 시간이 흐르면 치아 사이 경계선에 어둔 띠가 생긴다. 요거트와 함께 먹거나, 섭취 직후 물로 씻어내는 습관이 착색 잔존을 낮춘다. 토마토 소스는 파스타와 케첩에 넓게 쓰이며 산성도가 높다. 표면 미세구멍에 염료가 들러붙기 쉬운 상태를 만들고, 반복 섭취가 이어지면 치경부부터 색 변화가 확연해진다. 소스 위주 식단에선

서구가 곱창에 꽂혔다: 값싸고 기름진 잔반이 ‘친환경 수퍼푸드’로 뒤집힌다

환경·건강·가격을 앞세운 ‘코투테일(코에서 꼬리까지)’ 확산, 인디펜던트 보도로 불붙은 인식 전쟁

더지엠뉴스 박소영 기자 | 쫄깃한 지방과 내장의 진득한 풍미가 서구 밥상에서 ‘금기’에서 ‘대체 선택지’로 포지션을 바꾸고 있다. 음식물 쓰레기를 줄이고 동물 한 마리를 끝까지 활용하자는 흐름이 내장육의 영양 밀도와 맞물리며, 가격 민감한 소비자·고단백 식단 지향층을 동시에 끌어당기고 있다. 5일 영국 인디펜던트(独立报, Duli Bao)에 따르면 영국에서는 동물의 코부터 꼬리까지 먹는 ‘코투테일(从鼻到尾, Cong bi dao wei)’ 식문화가 넓어지고 있다. 현지에서 기피되던 심장·간·신장·장 등 내장 부위는 상대적으로 저렴해 수출로 빠지던 물량이 적지 않았다. 내장을 더 소비하면 동일 단백질을 확보하기 위해 도축해야 하는 동물 수를 줄일 수 있다는 논리가 힘을 얻고 있다. 이는 축산 온실가스 배출과 가축 사육 면적, 부산물 폐기 부담을 동시에 낮출 수 있는 방안으로 소개된다. 영양학적으로 내장육은 단백질과 지용성 비타민, 미네랄이 풍부해 ‘영양 밀도’에서 정육을 앞서는 지표가 다수 제시된다. 예시로 간 100g의 철분 함량은 하루권장량 상당 비율에 이른다는 비교가 거론된다. 다만 조리법, 섭취 빈도, 개인 건강 상태에 따라 영양·위생 리스크와 효용이

피부가 꿈틀거린다…세탁 후 생긴 끔찍한 병

열대성 기생유충 감염 확산, 다림질·고온건조 필수

더지엠뉴스 박소영 기자 | 세탁 후 평범한 옷에서 시작된 감염이 인체 피부 속을 파고들며 움직이는 충격적 사례가 보고되고 있다. 아프리카와 동남아 지역을 중심으로 퍼지는 ‘피내구더기증’이 여행자와 거주자 모두에게 위협이 되고 있다. 4일 사이언스(Science)에 따르면, 미국 위스콘신대학교 매디슨 연구팀은 열대우림 지역의 룬드파리 유충 감염이 최근 급증하고 있다고 발표했다. 연구를 이끈 토니 골드버그 교수는 현지 조사 과정에서 직접 감염을 경험하며, “겨드랑이 아래에서 이물감과 통증을 느꼈고, 그 속에서 살아 있는 유충을 발견했다”고 밝혔다. 룬드파리 유충은 갈고리형 입을 이용해 숙주의 살을 파고들며 성장한다. 감염 부위에서는 바늘로 찌르는 듯한 통증과 함께 부종·염증·괴사가 이어지고, 심한 경우 패혈증으로 번질 수 있다. 특히 면역력이 약한 사람이나 기저질환자가 감염될 경우 위험성이 높다. 감염 경로는 세탁물에서 비롯되는 경우가 많다. 룬드파리는 습하고 어두운 환경에 알을 낳는데, 마르지 않은 빨래나 이불·베개가 이상적인 산란처가 된다. 교수는 “의류와 침구를 완전히 말린 뒤 열을 가해 다림질해야 유충의 생존을 차단할 수 있다”며, “베개를 다림질하지 않




통찰·견해


포토뉴스

더보기