더지엠뉴스 이남희 기자 | 극심한 복통으로 병원을 찾은 20대 여성이 맹장 수술을 받은 직후 구토 과정에서 살아 있는 회충을 입으로 토해낸 사례가 국제 학술지에 보고됐다.
장 속에 숨어 있던 기생충이 충수 안쪽까지 파고들어 염증을 일으킨 뒤 위 방향으로 역행한 것으로 추정되면서, 위생 관리와 정기적인 구충의 필요성이 다시 떠오르고 있다.
24일 국제 의학 저널 큐레우스에 따르면, 필리핀 국적의 29세 여성 A씨는 심한 배 통증을 호소하며 사우디아라비아 킹 살만 병원 응급실을 찾았다.
A씨가 처음 느낀 통증은 배꼽 주변에서 시작돼 시간이 지나면서 복부 전체로 번졌고, 식욕이 떨어지면서 메스꺼움과 구토가 반복되는 상태였던 것으로 전해졌다.
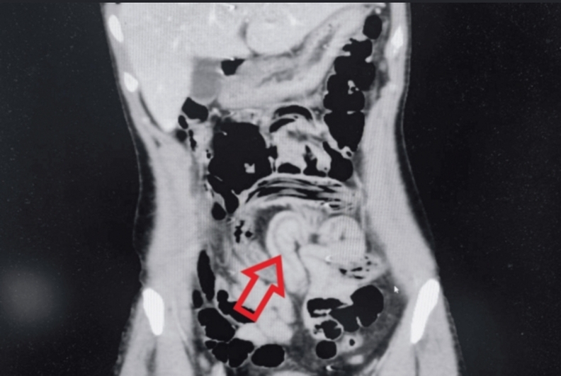
의료진은 진찰 과정에서 단순 소화불량을 넘는 복부 긴장과 압통을 확인하고, 조영제를 이용한 복부 컴퓨터단층촬영을 시행해 소장과 대장 고리 부위에 공기로 채워진 가늘고 긴 선 모양의 구조물을 찾아냈다.
영상 소견은 장 내에 이물질이 움직이고 있는 양상에 가까웠고, 의료진은 회충 감염 가능성을 최우선으로 의심하면서 충수 말단부에 생긴 염증까지 함께 확인했다.
추가 혈액 검사와 영상 판독 결과 A씨에게는 충수 끝에 염증이 생긴 충수염, 이른바 맹장염이 동반된 것으로 확진됐고, 의료진은 즉시 복강경을 이용한 충수절제술에 들어갔다.
수술은 큰 합병증 없이 마무리됐고, 충수 내부와 주변 조직에서는 염증 소견이 뚜렷이 관찰돼 회충이 통로를 만들며 염증을 일으켰을 가능성이 제기됐다.
수술 직후 회복실에서 A씨는 다시 한 차례 구토를 했고, 이때 위 속 내용물과 함께 하얗고 가늘며 길게 움직이는 살아 있는 회충 한 마리가 그대로 밖으로 배출된 사실이 의료진에 의해 확인됐다.
의료진은 장 안에서 활동하던 회충이 충수 입구를 자극하다가 맹장염을 유발했고, 일부 개체는 위 쪽으로 역행해 올라간 끝에 구토를 계기로 입 밖으로 나온 것으로 추정된다고 설명했다.
눈에 보이는 회충이 몸 밖으로 빠져나왔지만, 소장과 대장 다른 부위에 남아 있을 기생충을 배제할 수 없다고 판단해 의료진은 구충제 알벤다졸을 투여해 추가 감염을 정리하는 치료를 병행했다.
이 증례 보고는 지난 17일자 큐레우스에 실렸으며, 회충 감염이 단순 복통을 넘어 실제 충수염까지 유발할 수 있다는 점을 영상과 사진 자료와 함께 소개했다.
의사들은 과거 인분 비료를 널리 사용하던 시기에는 토양과 농작물이 회충 알에 오염되기 쉬웠고, 이 때문에 1970~1980년대 한국에서도 회충이 매우 흔하게 발견됐다고 상기시켰다.
회충에 감염된 초기에는 대부분 특별한 증상을 느끼지 못하지만, 장 속 개체 수가 늘어나면 장을 자극해 간헐적인 복통과 설사를 반복하게 만들고, 일부 환자에서는 체중 감소와 영양 결핍으로 이어질 수 있다.
회충은 주로 소장 안쪽에서 기생하며 숙주가 섭취하는 영양분을 빼앗아가는데, 드물게는 소장에서 위나 간 같은 다른 장기로 이동해 심한 복통과 구토, 황달 등의 증상을 동반하는 심각한 상태를 만들기도 한다.
이 과정에서 기생충 덩어리가 이자나 담관 출구를 막거나 장을 틀어막으면, 급성 복증으로 발전해 응급 수술이 필요한 상황으로까지 내몰릴 수 있다는 것이 전문가들의 설명이다.
이미 감염이 확인된 경우에는 알벤다졸이나 플루벤다졸 성분의 구충제를 일정 기간 복용해 장 속 기생충을 제거하는 방식으로 치료하며, 가족 구성원이 함께 생활하는 환경이라면 동시 복용이 권고되는 경우도 많다.
최근에는 생선회를 통해 감염되는 고래회충 사례도 국내외에서 꾸준히 보고되고 있어, 방어철을 포함한 겨울철 해산물 소비 시 각별한 주의가 요구되고 있다.
고래회충은 바다에서 사는 포유류의 위장에 기생하는 선충류의 일종으로, 그 유충이 든 어류나 두족류를 익히지 않고 날것으로 먹으면 사람의 위장관에 들어와 증상을 일으키는 기생충 감염성 질환이 고래회충증이다.
감염되면 갑작스러운 상복부 통증과 구토, 메스꺼움이 나타나고, 유충이 위벽이나 장벽을 파고들면 위염과 위궤양, 국소적인 장 염증이 동반되면서 참기 어려운 통증이 이어질 수 있다.
위장 내시경 검사에서 유충이 위벽에 꽂혀 있는 모습이 포착되면, 의료진은 특수 겸자를 이용해 기생충을 직접 잡아 빼내고 병변 부위를 살피는 방식으로 치료를 진행한다.
국내에서는 생선회와 해산물 섭취 후 복통을 호소하다가 고래회충증으로 진단되는 사례가 해마다 여러 건씩 의료진에 의해 보고되고 있다.







